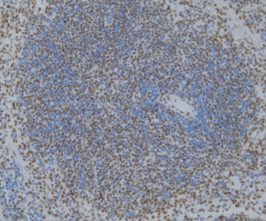
抗体 精品一抗 试剂 TDP-43 (C-terminal) Recombinant antibody抗体 精品一抗 试剂 价格¥600/¥1080/¥1800规格20ul/50ul/100ul货号B36121S单位支品牌HaoKebio QQ53383090 咨询购买 产品介绍 品牌商品编码商品名称规格单价HaoKebioB36121STDP-43 (C-terminal) Recombinant antibody20UL/50UL/100UL¥600/¥1080/¥1800 Uniprot ID:Q13148 Organism: RabbitApplications: IHC:1:1000-1:4000 IHC-Polymer:1:4000-1:16000 IHC-TSA:1:5000-1:20000 IF:1:50-1:200 WB:1:5000-1:50000 FC:1:100-1:500 Molecular Weight Calculation: 43 kDa Observed Molecular Weight: 43 kDa Species reactivity: Human Mouse RatSubcellular location: Cytoplasm,Nucleus-20°C 储存一年。 存储说明: 以蓝冰运输。收货后,进行分装,并在-25°C 至-18°C 条件下储 存。避免反复冻融。 说明书下载: B36121S#TDP-43 (C-terminal) Recombinant antibody说明书下载 上一篇: SLC17A9 Recombinant antibody下一篇: ACE Recombinant antibody 推荐 鬼笔环肽(红光) 2023年7月11日 1545 【产品简介】 鬼笔环肽(Phalloidin),又称鬼笔鹅膏素,最初是从毒蘑菇鬼笔鹅膏菌(Amanitaphalloides)中分离到的一种... 查看全文 CD11c Recombinant antibody 2025年11月13日 2042 Organism: RabbitApplications: IHC:1:200-1:400 IHC-Polymer:1:800-1:1600 IHC-TSA:1:1000-1:2000 ... 查看全文 组织自发荧光淬灭剂 2024年9月14日 2309 暂无 查看全文 红细胞裂解液 2024年10月25日 1737 暂无 查看全文 您好!请登录 点击取消回复 请登录后评论 点击这里取消回复。
鬼笔环肽(红光) 2023年7月11日 1545 【产品简介】 鬼笔环肽(Phalloidin),又称鬼笔鹅膏素,最初是从毒蘑菇鬼笔鹅膏菌(Amanitaphalloides)中分离到的一种... 查看全文
CD11c Recombinant antibody 2025年11月13日 2042 Organism: RabbitApplications: IHC:1:200-1:400 IHC-Polymer:1:800-1:1600 IHC-TSA:1:1000-1:2000 ... 查看全文
您好!请登录