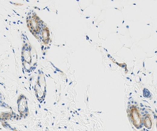
EGFR Recombinant antibody
2217Uniprot ID:P00533 Organism: RabbitApplications: IHC:1:100-1:200 IHC-Polymer:1:400-1:800 TSA:1:500-1:1000 Species reactivity: Human...
查看全文Uniprot ID:P00533 Organism: RabbitApplications: IHC:1:100-1:200 IHC-Polymer:1:400-1:800 TSA:1:500-1:1000 Species reactivity: Human...
查看全文Organism: RabbitApplications: IHC:1:500-1:1000 IHC-Polymer:1:2000-1:4000 IHC-TSA:1:2500-1:5000IF:1:50 Species reactivity: Mouse RatS...
查看全文Uniprot ID:Q9Y376 Organism: RabbitApplications: IHC:1:100-1:200 IHC-Polymer:1:400-1:800 IHC-TSA:1:500-1:1000 WB:1:2000-1:2000...
查看全文Uniprot ID:O95832 Organism: Rabbit Applications: IHC:1:50-1:500 IHC-Polymer:1:200-1:1200 IHC-TSA:1:250-1:1500 WB:1:1...
查看全文
您好!请登录