HRP-conjugatedFLAG tag Monoclonal antibody
2850Genbank:FLAGTAG Organism:Mouse Species reactivity:Recombinant protein Applications: WB:1:5000-1:50000储存条件:-20°C 储存一年。...
查看全文Genbank:FLAGTAG Organism:Mouse Species reactivity:Recombinant protein Applications: WB:1:5000-1:50000储存条件:-20°C 储存一年。...
查看全文Uniprot ID:P68431 Organism: RabbitApplications: IHC:1:500-1:2000 IHC-Polymer:1:2000-1:8000 IHC-TSA:1:2500-1:10000 IF:1:50-1:1...
查看全文服务介绍: 增强型蛋白酶抑制剂混合液(Protease Inhibitor Cocktail)是多种蛋白酶抑制剂混合物组成的一款高效、广谱的抑制剂混合...
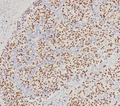
查看全文Uniprot ID:P06401 Organism: RabbitApplications: IHC:1:100-1:200 IHC-Polymer:1:400-1:800 TSA:1:500-1:1000 Species reactivity: ...
查看全文
您好!请登录