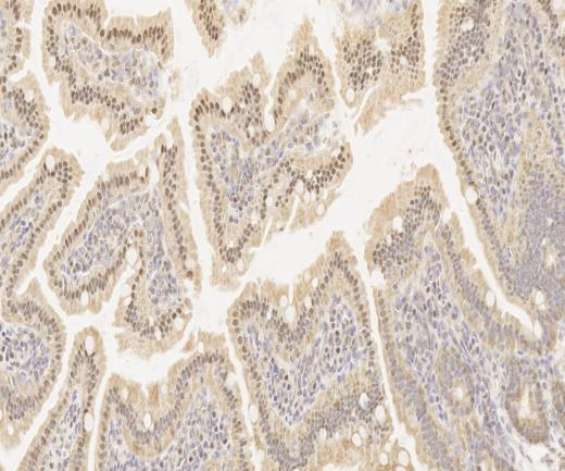
抗体 精品一抗 试剂 CD72 Recombinant antibody抗体 精品一抗 试剂 价格¥600/¥1080/¥1800规格20ul/50ul/100ul货号B36494S单位支品牌HaoKebio QQ53383090 咨询购买 产品介绍 品牌商品编码商品名称规格单价HaoKebioB36494SCD72 Recombinant antibody20UL/50UL/100UL¥600/¥1080/¥1800 Uniprot ID : P21855 Organism: Rabbit Applications:IHC:1:200-1:800 IHC-Polymer:1:800-1:3200 IHC-TSA:1:1000-1:4000 IF:1:50-1:100 WB:1:1000-1:6000 Molecular Weight Calculation: 40 kDaObserved Molecular Weight: 40-45 kDa Species reactivity: Mouse Subcellular location: Membrane 存储条件:-20°C 储存一年。 存储说明: 以蓝冰运输。收货后,进行分装,并在-25°C 至-18°C 条件下储 存。避免反复冻融。 说明书下载: B36494S#CD72 Recombinant antibody说明书下载 上一篇: CD55 Recombinant antibody下一篇: CD74 Recombinant antibody 推荐 抗体高效反应液 2025年7月25日 3183 产品介绍: 本产品专门用于Western blot实验中膜的封闭和抗体的稀释,本品含有特殊有机化合物成份,可显著缩短实验反应时间,... 查看全文 荧光四标信号放大试剂盒(冰冻切片、细胞爬片适用) 2023年5月25日 3020 酪酰胺信号放大(TSA)系统可用于检测荧光免疫细胞化学(ICC)、免疫组织化学(IHC) 中的低丰度靶点,可将信号灵敏度提... 查看全文 荧光五标超敏信号放大试剂盒(石蜡切片适用) 2024年11月8日 2135 【注意事项】 无 查看全文 CLCA1Recombinant antibody 2025年12月17日 3013 Uniprot ID:A8K7I4 Organism: RabbitApplications: IHC:1:100-1:200 IHC-Polymer:1:400-1:800 IHC-TSA:1:500-1:1000 WB:1:2000 Molec... 查看全文 您好!请登录 点击取消回复 请登录后评论 点击这里取消回复。
荧光四标信号放大试剂盒(冰冻切片、细胞爬片适用) 2023年5月25日 3020 酪酰胺信号放大(TSA)系统可用于检测荧光免疫细胞化学(ICC)、免疫组织化学(IHC) 中的低丰度靶点,可将信号灵敏度提... 查看全文
CLCA1Recombinant antibody 2025年12月17日 3013 Uniprot ID:A8K7I4 Organism: RabbitApplications: IHC:1:100-1:200 IHC-Polymer:1:400-1:800 IHC-TSA:1:500-1:1000 WB:1:2000 Molec... 查看全文
您好!请登录