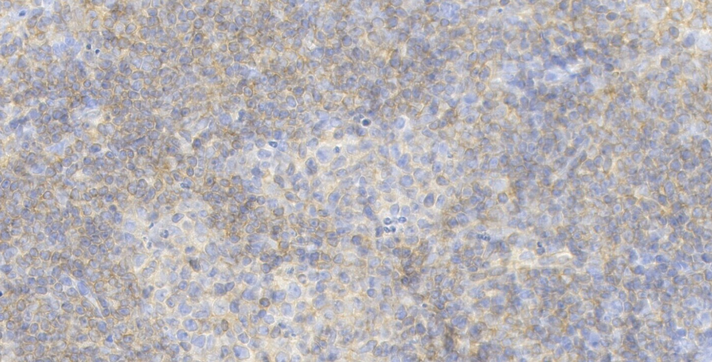
抗体 精品一抗 试剂 CD19 Recombinant antibody抗体 精品一抗 试剂 价格¥600/¥1080/¥1800规格20ul/50ul/100ul货号B36477S单位支品牌HaoKebio QQ53383090 咨询购买 产品介绍 品牌商品编码商品名称规格单价HaoKebioB36477SCD19 Recombinant antibody20UL/50UL/100UL¥600/¥1080/¥1800 Uniprot ID:P25918 Organism: Rabbit Applications:IHC:1:500-1:2000 IHC-Polymer:1:2000-1:8000 IHC-TSA:1:2500-1:10000 IF:1:50-1:100 WB:1:5000-1:50000 Molecular Weight Calculation: 60 kDaObserved Molecular Weight: 80-120 kDa Species reactivity: Mouse Subcellular location: Membrane 存储条件:-20°C 储存一年。 存储说明: 以蓝冰运输。收货后,进行分装,并在-25°C 至-18°C 条件下储 存。避免反复冻融。 说明书下载: B36477S#CD19 Recombinant antibody说明书下载 上一篇: CD147 Recombinant antibody下一篇: CD19 Recombinant antibody 推荐 封闭液(山羊来源抗体专用) 2023年7月11日 3125 暂无 查看全文 荧光双标超敏信号放大试剂盒(石蜡切片适用) 2024年11月8日 2873 无 查看全文 IL-1R1 Recombinant antibody 2025年12月2日 2810 Uniprot ID:P13504-1 Organism: RabbitApplications: IHC:1:50-1:500 IHC-Polymer:1:200-1:2000 IHC-TSA:1:250-1:2500 WB:1:1000-1:4000 ... 查看全文 鬼笔环肽(绿光) 2023年7月11日 1679 【产品简介】 鬼笔环肽(Phalloidin),又称鬼笔鹅膏素,最初是从毒蘑菇鬼笔鹅膏菌(Amanitaphalloides)中分离到的一种双... 查看全文 您好!请登录 点击取消回复 请登录后评论 点击这里取消回复。
IL-1R1 Recombinant antibody 2025年12月2日 2810 Uniprot ID:P13504-1 Organism: RabbitApplications: IHC:1:50-1:500 IHC-Polymer:1:200-1:2000 IHC-TSA:1:250-1:2500 WB:1:1000-1:4000 ... 查看全文
鬼笔环肽(绿光) 2023年7月11日 1679 【产品简介】 鬼笔环肽(Phalloidin),又称鬼笔鹅膏素,最初是从毒蘑菇鬼笔鹅膏菌(Amanitaphalloides)中分离到的一种双... 查看全文
您好!请登录