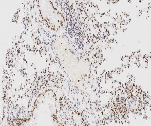
抗体 精品一抗 试剂 Acetyl-Histone H3 (Lys23) Recombinant antibody抗体 精品一抗 试剂 价格¥600/¥1080/¥1800规格20ul/50ul/100ul货号B36448S单位支品牌HaoKebio QQ53383090 咨询购买 产品介绍 品牌商品编码商品名称规格单价HaoKebioB36448SAcetyl-Histone H3 (Lys23) Recombinant antibody20UL/50UL/100UL¥600/¥1080/¥1800 Uniprot ID:P68431 Organism: RabbitApplications: IHC:1:200-1:800 IHC-Polymer:1:800-1:3200 IHC-TSA:1:1000-1:4000 IF:1:50 Species reactivity: Human Mouse Rat Subcellular location: Nucleus 存储条件:-20°C 储存一年。 存储说明: 以蓝冰运输。收货后,进行分装,并在-25°C 至-18°C 条件下储 存。避免反复冻融。 说明书下载: B36448S#Acetyl-Histone H3 (Lys23) Recombinant antibody说明书下载 上一篇: p63 Recombinant antibody下一篇: Acetyl-Histone H3 (Lys23) Recombinant antibody 推荐 抗荧光淬灭封片剂 2023年7月13日 2116 暂无 查看全文 Flare780超敏浓缩型 2024年9月10日 1954 【使用方法】 1.脱蜡至水 依次将切片放入二甲苯Ⅰ8min-二甲苯Ⅱ8min-无水乙醇Ⅰ5min-无水乙醇Ⅱ5min-95%酒精 5min-85%酒精 5m... 查看全文 磷酸化蛋白酶抑制剂 2023年7月11日 4931 操作说明 1. 使用前将本产品解冻、复温。 2. 每100 μL裂解液中加入1 μL磷酸化蛋白酶抑制剂A液和1 μL磷酸化蛋白酶抑制剂B液,混匀... 查看全文 50×Cocktail蛋白酶抑制剂 2024年9月18日 1828 服务介绍: 在稳定条件下细胞内蛋白质的合成与分解处于动态平衡。但在体外条件下从细胞和组织中提取蛋白质时,因细胞中含有许多能降... 查看全文 您好!请登录 点击取消回复 请登录后评论 点击这里取消回复。
Flare780超敏浓缩型 2024年9月10日 1954 【使用方法】 1.脱蜡至水 依次将切片放入二甲苯Ⅰ8min-二甲苯Ⅱ8min-无水乙醇Ⅰ5min-无水乙醇Ⅱ5min-95%酒精 5min-85%酒精 5m... 查看全文
磷酸化蛋白酶抑制剂 2023年7月11日 4931 操作说明 1. 使用前将本产品解冻、复温。 2. 每100 μL裂解液中加入1 μL磷酸化蛋白酶抑制剂A液和1 μL磷酸化蛋白酶抑制剂B液,混匀... 查看全文
50×Cocktail蛋白酶抑制剂 2024年9月18日 1828 服务介绍: 在稳定条件下细胞内蛋白质的合成与分解处于动态平衡。但在体外条件下从细胞和组织中提取蛋白质时,因细胞中含有许多能降... 查看全文
您好!请登录