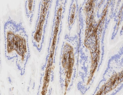
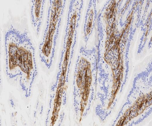
CD9 Recombinant antibody
CD9 Recombinant antibody
CD9 Recombinant antibody

CD9 Recombinant antibody

  • 价格¥600/¥1080/¥1800
  • 规格20ul/50ul/100ul
  • 货号B36444S
  • 单位
  • 品牌HaoKebio
产品介绍

品牌商品编码商品名称规格单价
HaoKebioB36444SCD9 Recombinant antibody20UL/50UL/100UL¥600/¥1080/¥1800

Uniprot ID:P40240

Organism: Rabbit

Applications:

IHC:1:500-1:2000

IHC-Polymer:1:2000-1:8000

IHC-TSA:1:2500-1:10000

IF:1:50-1:100

WB:1:1000-1:4000

Molecular Weight Calculation: 25 kDa
Observed Molecular Weight: 25 kDa


Species reactivity: Mouse

 Subcellular location: Membrane

存储条件:
-20°C 储存一年。

存储说明:

以蓝冰运输。收货后,进行分装,并在-25°C 至-18°C 条件下储 存。避免反复冻融。

说明书下载:

上一篇: 下一篇:

推荐

  • 50×Cocktail蛋白酶抑制剂

    2029

    服务介绍: 在稳定条件下细胞内蛋白质的合成与分解处于动态平衡。但在体外条件下从细胞和组织中提取蛋白质时,因细胞中含有许多能降...

    查看全文

您好!请登录

点击取消回复
    展开更多
    点击展开我们的联系方式