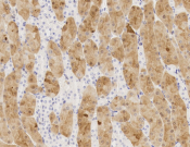
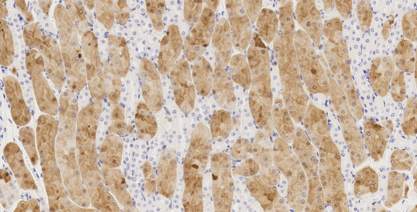
CD23 Recombinant antibody
CD23 Recombinant antibody
CD23 Recombinant antibody

CD23 Recombinant antibody

  • 价格¥600/¥1080/¥1800
  • 规格20ul/50ul/100ul
  • 货号B36440S
  • 单位
  • 品牌HaoKebio
产品介绍

品牌商品编码商品名称规格单价
HaoKebioB36440SCD23 Recombinant antibody20UL/50UL/100UL¥600/¥1080/¥1800

Uniprot ID:P06734


Organism: Rabbit

Applications:

IHC:1:500-1:2000

IHC-Polymer:1:2000-1:8000

IHC-TSA:1:2500-1:10000

IF:1:50-1:100

WB:1:5000-1:50000

Molecular Weight Calculation: 321 aa, 36 kDa
Observed Molecular Weight: 36 kDa 


Species reactivity: Mouse

 Subcellular location: Membrane,Cytoplasm

存储条件:
-20°C 储存一年。

存储说明:

以蓝冰运输。收货后,进行分装,并在-25°C 至-18°C 条件下储 存。避免反复冻融。

说明书下载:

上一篇: 下一篇:

推荐

您好!请登录

点击取消回复
    展开更多
    点击展开我们的联系方式