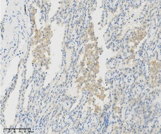
PD-L1 Recombinant antibody
PD-L1 Recombinant antibody
PD-L1 Recombinant antibody

PD-L1 Recombinant antibody

  • 价格¥600/¥1080/¥1800
  • 规格20ul/50ul/100ul
  • 货号B36221S
  • 单位
  • 品牌HaoKebio
产品介绍

品牌商品编码商品名称规格单价
HaoKebioB36221SPD-L1 Recombinant antibody20UL/50UL/100UL¥600/¥1080/¥1800

Uniprot ID:Q9NZQ7


Organism: Rabbit

Applications:

IHC:1:200-1:800

IHC-Polymer:1:800-1:3200

IHC-TSA:1:1000-1:4000

IF:1:50                                        

WB:1:1000-1:4000

Molecular Weight Calculation:  290 aa, 33 kDa

Observed Molecular Weight: 50 kDa  


Species reactivity: Human Mouse

 Subcellular location: Membrane

存储条件:
-20°C 储存一年。

存储说明:

以蓝冰运输。收货后,进行分装,并在-25°C 至-18°C 条件下储 存。避免反复冻融。

说明书下载:

上一篇: 下一篇:

推荐

  • Flare570即用型

    2664

    6.重复抗原修复步骤 2 可进行多色标记 7.DAPI 复染细胞核 8.抗荧光淬灭剂封片 9.相应荧光通道拍照或扫描 【注意事项】 1.本产品仅作科研用途...

    查看全文

您好!请登录

点击取消回复
    展开更多
    点击展开我们的联系方式