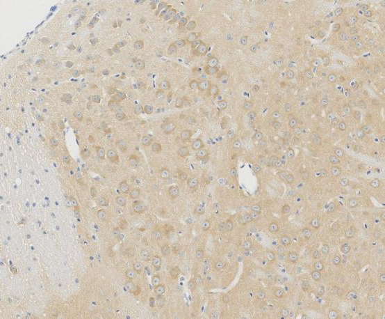
抗体 精品一抗 试剂 DRP1 (C-terminal) Recombinant antibody抗体 精品一抗 试剂 价格¥600/¥1080/¥1800规格20ul/50ul/100ul货号B36146S单位支品牌HaoKebio QQ53383090 咨询购买 产品介绍 品牌商品编码商品名称规格单价HaoKebioB36146SDRP1 (C-terminal) Recombinant antibody20UL/50UL/100UL¥600/¥1080/¥1800 Uniprot ID:O00429 Organism: RabbitApplications: IHC:1:500-1:2000 IHC-Polymer:1:2000-1:8000 IHC-TSA:1:2500-1:10000 IF:1:50-1:100 WB:1:5000-1:50000 IP:1ug for 1mg of total protein lysate FC:1:100-1:500 Molecular Weight Calculation: 736 aa, 82 kDa Observed Molecular Weight: 70-80 kDa Species reactivity: Human Mouse RatSubcellular location: Cytoplasm-20°C 储存一年。 存储说明: 以蓝冰运输。收货后,进行分装,并在-25°C 至-18°C 条件下储 存。避免反复冻融。 说明书下载: B36146S#DRP1 (C-terminal) Recombinant antibody说明书下载 上一篇: DNAJB1 Recombinant antibody下一篇: CDK4 Recombinant antibody 推荐 超敏染料稀释液 2024年9月10日 2627 【使用方法】 1.脱蜡至水 依次将切片放入二甲苯Ⅰ8min-二甲苯Ⅱ8min-无水乙醇Ⅰ5min-无水乙醇Ⅱ5min-95%酒精5min-85%酒精 5min-蒸馏... 查看全文 荧光三标信号放大试剂盒(石蜡切片适用) 2024年12月10日 5170 查看全文 磷酸化蛋白酶抑制剂 2023年7月11日 4852 操作说明 1. 使用前将本产品解冻、复温。 2. 每100 μL裂解液中加入1 μL磷酸化蛋白酶抑制剂A液和1 μL磷酸化蛋白酶抑制剂B液,混匀... 查看全文 CD14Recombinant antibody 2025年11月5日 2864 Uniprot ID:P08571 Organism: RabbitApplications: IHC:1:100-1:200 IHC-Polymer:1:400-1:800 TSA:1:500-1:1000 Species reactivity: Hum... 查看全文 您好!请登录 点击取消回复 请登录后评论 点击这里取消回复。
超敏染料稀释液 2024年9月10日 2627 【使用方法】 1.脱蜡至水 依次将切片放入二甲苯Ⅰ8min-二甲苯Ⅱ8min-无水乙醇Ⅰ5min-无水乙醇Ⅱ5min-95%酒精5min-85%酒精 5min-蒸馏... 查看全文
磷酸化蛋白酶抑制剂 2023年7月11日 4852 操作说明 1. 使用前将本产品解冻、复温。 2. 每100 μL裂解液中加入1 μL磷酸化蛋白酶抑制剂A液和1 μL磷酸化蛋白酶抑制剂B液,混匀... 查看全文
CD14Recombinant antibody 2025年11月5日 2864 Uniprot ID:P08571 Organism: RabbitApplications: IHC:1:100-1:200 IHC-Polymer:1:400-1:800 TSA:1:500-1:1000 Species reactivity: Hum... 查看全文
您好!请登录