COPA Recombinant antibody

COPA Recombinant antibody

  • 价格¥600/¥1080/¥1800
  • 规格20ul/50ul/100ul
  • 货号B36137S
  • 单位
  • 品牌HaoKebio
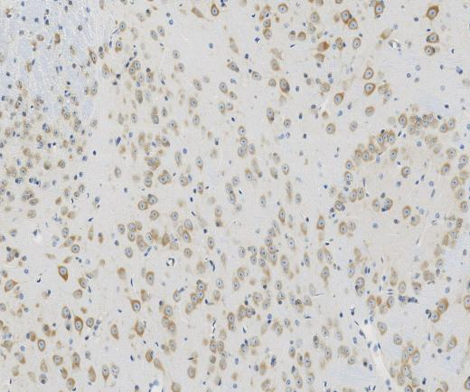
产品介绍

品牌商品编码商品名称规格单价
HaoKebioB36137SCOPA Recombinant antibody20UL/50UL/100UL¥600/¥1080/¥1800

Uniprot ID:P53621


Organism: Rabbit

Applications:

IHC:1:250-1:1000

IHC-Polymer:1:1000-1:4000

IHC-TSA:1:1200-1:5000

IF:1:50-1:100

WB:1:2000-1:10000

FC:1:200-1:600

Molecular Weight Calculation:  138 kDa


Observed Molecular Weight: 150 kDa 


Species reactivity: Human Mouse

Subcellular location: Cytoplasm
-20°C 储存一年。

存储说明:

以蓝冰运输。收货后,进行分装,并在-25°C 至-18°C 条件下储 存。避免反复冻融。

说明书下载:

上一篇: 下一篇:

推荐

  • HE染液/HE染色试剂盒

    3415

    【储存与运输】 本试剂常温保存运输,有效期一年。 【实验前准备】 自备苏木素分化液、苏木素返蓝液、二甲苯、梯度乙醇、无...

    查看全文
  • C8B Recombinant antibody

    2968

    Uniprot ID:P07358 Organism: RabbitApplications: IHC:1:200-1:1000 IHC-Polymer:1:800-1:8000 IHC-TSA:1:1000-1:10000 IF:1:50   ...

    查看全文

您好!请登录

点击取消回复
    展开更多
    点击展开我们的联系方式