Haoke® 支原体快速检测试剂盒(LAMP)
2374Haoke® Quick mycoplasma detection kit by LAMP是一款用于快速检测细胞培养物中支原体污染的试剂盒。 产品特点: 适用范...
查看全文Haoke® Quick mycoplasma detection kit by LAMP是一款用于快速检测细胞培养物中支原体污染的试剂盒。 产品特点: 适用范...
查看全文Uniprot ID: P35461 Organism: Rabbit Applications: IHC:1:100-1:500 IHC-Polymer:1:400-1:2000 IHC-TSA:1:500-1:2500 Species r...
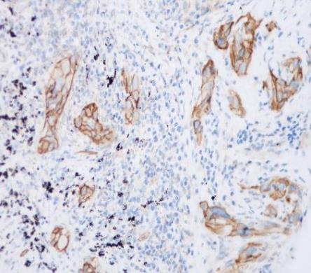
查看全文Uniprot ID: P16070 Organism: Rabbit Applications: IHC:1:500-1:2000 IHC-Polymer:1:2000-1:8000 IHC-TSA:1:2500-1:10000 ...
查看全文Uniprot ID: A6NFN3 Organism: RabbitApplications: IHC:1:100-1:500 IHC-Polymer:1:400-1:2000 IHC-TSA:1:500-1:2500 WB:1:500-1:1000Spe...
查看全文
您好!请登录